Case File: Use of POCUS for assessment of dyspnea in the Emergency Department

by Jennifer Meloche, MD, Queen’s University, Cardiology

 


Download article PDF – POCUS Journal 2016; 1(1):2.


 

A 65 year-old man presented to the Emergency Department at Kingston General Hospital with progressive shortness of breath, fatigue, dull chest discomfort that worsened with deep breathing and exertion. The patient was referred to cardiology for congestive heart failure and ordered troponin, chest x-ray (CXR), and electrocardiogram (ECG). The patient had a previous history of non-ST elevation myocardial infarction, stable, mild chronic obstructive pulmonary disease (COPD), and low normal estimated glomerular filtration rate. A physical examination determined that the patient was hemodynamically stable, revealed an oxygen saturation of 89% on room air, and auscultation showed normal heart sounds with no S3 heard. The patient’s jugular venous pressure was difficult to visualize, the chest was clear, and there was mild lower leg edema. CXR and ECG results returned normal, and troponin was 0.09. The Differential included: acute coronary syndrome (ACS, ischemia), pulmonary embolism (PE), pneumonia/COPD exacerbation.

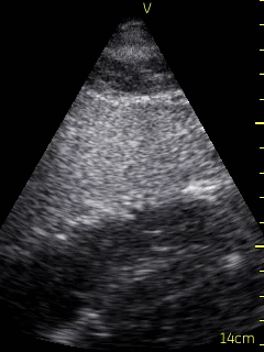
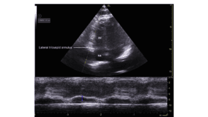
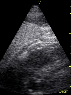
A transthoracic echo (TTE) was ordered for the morning following admission, and a bedside echocardiogram was conducted with a hand-held ultrasound unit (VScan, GE), revealing a dilated hypokinetic right ventricle and grossly normal left ventricular systolic function. The point-of-care cardiac ultrasound (POCUS) led to a new Differential: PE and ACS/right ventricular infarct.

Following the POCUS and confirmatory limited TTE, the patient was sent for an urgent computed tomography (CTPA) to confirm pulmonary embolism, and was admitted to the internal medicine unit. An Urgent full TTE was ordered that evening to document RV dysfunction Respirology was consulted to consider the need for thrombolytics.
Conclusion: In this case the application of POCUS significantly altered the initial differential and led to rapid diagnosis of a pulmonary embolism and appropriate management.

 

 

 

Posted in .

Leave a Reply

Your email address will not be published. Required fields are marked *