Case File: Cardiac amyloidosis using on routine hand-held ultrasound

by Jeffrey Wilkinson, MD Queen’s University, Department of Medicine

 


Download article PDF – POCUS Journal 2016; 1(1):3


 

A 64 year-old man presented to the Kingston General Hospital with cardiac arrest. At the time of EMS arrival, the ECG showed ventricular tachycardia. The patient was intubated and ventilated. Multiple defibrillations were required to convert the patient back to normal sinus rhythm. At the bedside, a physical examination revealed a blood pressure of 82/46, a heart rate of 110 beats per minute which was regular, and oxygen saturations of 99%. The patient’s JVP was elevated at 7 cm above the sternal angle. Heart tones were normal, but a systolic murmur which was holosystolic and radiated to the apex was appreciated. Lung fields were clear.

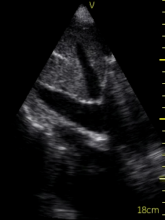
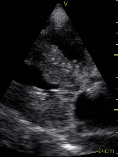
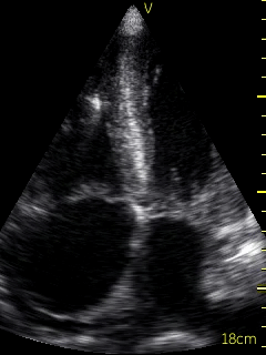
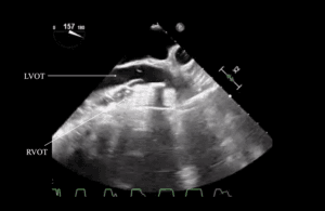
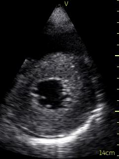
A bedside echocardiogram (VScan, GE) showed evidence of severe left ventricular and right ventricular thickening. Both atria were severely dilated. The mitral, tricuspid, and aortic valves appeared thickened. Myocardial speckling was not appreciated. Both the left and right ventricular function appeared to be moderately impaired.

During the hospital admission, the patient was treated with supportive care and was extubated. A fat pad biopsy was completed which made a definitive diagnosis of amyloidosis and the hematology service was consulted. However, the patient experienced an asystolic cardiac arrest, failed resuscitation, and died in hospital.

 

 

 

Posted in .

One Comment

  1. Nice case. Obvious amyloidosis. Just two observations: 1) Myocardial speckling are not usually seen using the new machines with second harmonic. It used to be a feature when the patients were studied with fundamental frequency. 2) Thickened mitral, tricuspid, and aortic valves are not good signs since their thickening depends on the power and gain settings.

Leave a Reply

Your email address will not be published. Required fields are marked *