Case File: Shocking out with severe hypoxia

by Barry Chan, MD Queen’s University, Internal Medicine

 


Download article PDF – POCUS Journal 2016; 1(1):3


 

Clinical Vignette: 36 year old presented in acute respiratory distress, hypotension (BP 70/40 with HR 120), and severe hypoxia (SpO2 80s with partial rebreather). Thoracic auscultation was normal though the heart sounds were masked by her breath sounds.  The jugular venous pulse (JVP) was grossly distended with no leg edema.

PoCUS Indication:  Clinically, the high JVP and clear lungs suggested an obstructive mechanism for which both pulmonary embolism (PE) and pericardial tamponade could yield such findings.

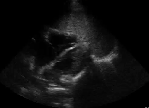
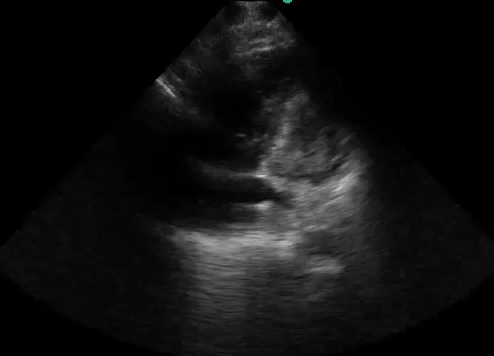
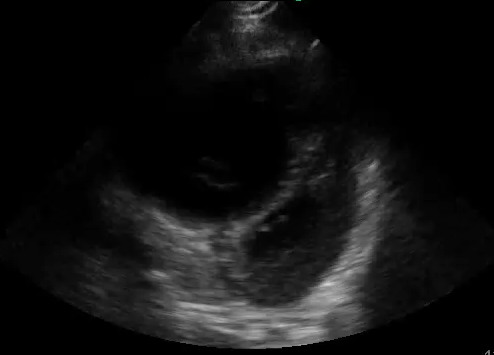
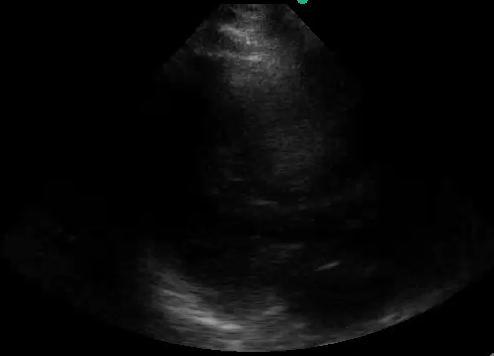
Image Acquisition: Basic Focused Assessed Transthroacic ECHO (FATE) was performed (See videos below).

Image Interpretation: Pericardial effusion was absent yet the right ventricle (RV) was dilated acutely as the RV wall thickness was normal (subcostal).  The systolic D-septum (parasternal) suggested an elevated RV afterload.  Along with the hyperdynamic left ventricle (LV) and normal left atrium (LA), there was likely a flow obstruction between the RV to LA which maybe related to the “lesion” in the RV.

Clinical Synthesis:  Given clinical features and PoCUS findings, the most likely etiology was PE.

Vignette Resolution: Standard echocardiogram revealed a large ovoid mass attached to the RV septum with systolic dynamic right ventricular outflow tract obstruction, and CTPA revealed bilateral PE.  Thrombolysis improved oxygenation though the mass persisted requiring surgical excision.  Pathology verified that it was a thrombus.

 

Interpretation (online version only)

(1) Indication:
In this case, both shock and hypoxia not yet determined can be evaluated via PoCUS. However, given the hyperacuity of this case and, also, the competing need to perform other urgent medical interventions, the author prioritized to only perform cardiac PoCUS to elucidate the mechanism and potential etiology of her severe shock. Sufficient information had been elicited from thoracic auscultation and CXR such that thoracic PoCUS will not alter the immediate management from the respiratory failure perspective.

It is important to remember PoCUS competes with other clinical priorities over limited resources (time, space, manpower), therefore it is important to know what information it may potentially offer and why you DO NOT need to perform such an assessment.

The urgent answers that the author would like from PoCUS were:
(a) Does the PoCUS findings corroborate with obstructive shock?
(b) If it is obstructive shock, what is the etiology?

(2) Image Acquisition:
The four basic cardiac views were attained though the quality varies with the apical 4 view being the least favourable with the patient in an upright position and taking rapid breaths. In practice, especially during acute situations, positioning for the ideal windows may not be feasible; and, often, not all windows can be obtained.

(3) Image Interpretation:
The first and foremost PoCUS interpretation parameter to answer is whether quality of the acquired images is adequate: pristine to unreadable. The images attained were not ideal: the septum of the parasternal long view was not horizontal; the apical 4 view was off axis; and etc… Nevertheless, they sufficed to answer the author’s clinical questions (indications).

“Lesions” and “things” may sometimes be seen in the cardiac chamber as per in this case. It can be thrombus, vegetation – infected or sterile, tumour, or foreign body. There are certain ultrasonographic features that may suggest one differential over another though this differentiation is not the role of PoCUS. In this case, one can only conclude that there is something inside the RV.

(4) Clinical Synthesis: Given the acute severe hypoxic respiratory failure, severe shock, clinical and PoCUS findings suggestive of obstructive shock, and PoCUS sign of acute RV pressure overload, acute pulmonary embolism would be the most likely cause. Hence, the RV lesion is likely a thrombus in transit.

 

 

Posted in .

Leave a Reply

Your email address will not be published. Required fields are marked *