Case Files: Use of hand held ultrasound to guide therapeutic and diagnostic thoracentesis in the pleural space clinic

by Michael Fitzpatrick, MD, FRCPC, Department of Medicine, Pleural Space Clinic,  Queen’s University, Hotel Dieu Hospital, Kingston, Ontario

 


Download article PDF – POCUS Journal 2016; 1(2):6


 

Case 1

Mr. P was a 75 year old gentleman with a history of splenic marginal zone lymphoma. His cancer was complicated by development of a pleural effusion and ascites. He was admitted to hospital due to abdominal discomfort but following discharge developed dyspnea. He was referred to the Pleural Space Clinic by his oncologist for worsening dyspnea and consideration of thoracentesis.

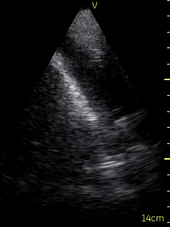
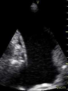
Ultrasound of the lung bases was conducted to assess for effusion by the consultant Respirologist using a Vscan device. There was no fluid present in the patient’s right pleural space. A moderate sized pleural effusion (Figure 1) was seen on the left side. The ultrasound of the left lung based was used to guide the thoracentesis (Video 1). The site of catheter insertion was landmarked at the 8th intercostal space, roughly 10 cm from the spine. Lidocaine was used to anesthetize down to the pleura. The catheter was introduced along the same location and angle, and a total 1.5 litres of serosanguinous fluid was collected. The procedure was well tolerated without complications.  Ultrasound following the procedure showed a very small amount of remaining fluid. Sliding lung/pleura could be seen as well. The patient experienced relief of symptoms following the procedure.

Case 2

Mr. M is a 58 year old man, with a prior history of non-small cell lung cancer and recurrent pleural effusions of unclear etiology noted on chest x-ray. The patient was referred to the Pleural Space Clinic due to increasing dyspnea on exertion.

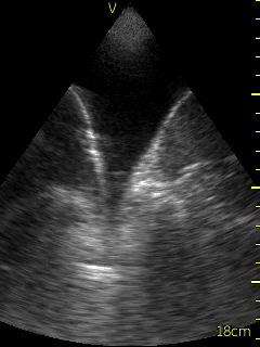
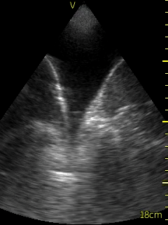
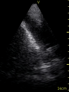
Ultrasound of the lung conducted by the Respirologist using a VScan device revealed a small amount of right pleural effusion and a moderate sized left pleural effusion. The ultrasound was used to landmark the site of needle insertion for thoracentesis (Figure 2, Video 2), at the 8th intercostal space, roughly 10 cm from the spine. Following anesthesia with lidocaine, the thoracentesis catheter was inserted along the same angle. A total of 500 ml was drained from the pleural space. The procedure was terminated as the patient began to experience some chest discomfort.  Following thoracentesis, ultrasound was repeated and there was no significant remaining fluid.  Sliding lung/pleura was visualized. The procedure was otherwise well tolerated. Fluid was sent for routine analysis, as well as cytology, flow cytometry, and cultures.

Case 3

Mr. V was a 69 year old man initially referred to the Lung Diagnostic Assessment Program Clinic for a small right sided pleural effusion and incidental lung thickening noted on a CT scan conducted several weeks prior during a bout of pneumonia. Given the appearance of the CT scan the decision was made to investigate for malignancy, especially in the presence of bilateral calcified pleural plaques in the absence of exposure to asbestos. He was referred to the Pleural Space Clinic for diagnostic thoracentesis.

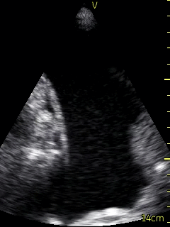
The patient’s right pleural space was assessed by the consultant Respirologist using a VScan device. A small amount of fluid in the right pleural space was noted to be gelatinous in appearance and loculated. Adjustment of the probe to the 6th intercostal space, roughly 10 cm from the spine helped to localize the largest fluid loculation in order to conduct the diagnostic thoracentesis (Figure 3, Video 3).  Following informed written consent, and lidocaine anesthesia in a sterile fashion, an angiocather was introduced guided by the ultrasound location of the largest pocket of fluid.  Approximately 70 ml of bloody fluid was collected.  The patient tolerated the procedure well without complication. Ultrasound post procedure persistence of fluid with several loculations remaining. The collected fluid was sent for routine analysis, cytology, flow cytometry, and culture.

 

 

Posted in .

Leave a Reply

Your email address will not be published. Required fields are marked *