Case Report: Hemoptysis localization – hearing with your eyes

by Barry Chan, MD, Queen’s University, Internal Medicine

 


Download article PDF – POCUS Journal 2016; 1(2):7


 

Clinical Vignette:

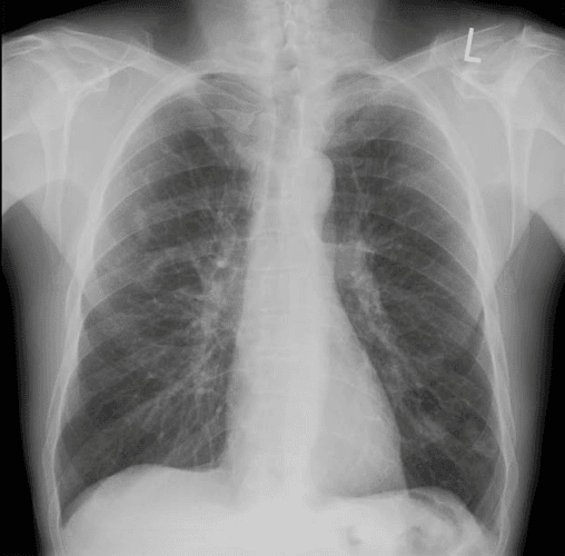
45 year old was transferred from a peripheral facility for acute massive hemoptysis though maintained sufficient airway patency with no evidence of hemodynamic instability or respiratory failure.  Thoracic auscultation revealed vesicular breathing with no adventitious sound.  CXR from the peripheral site was normal (see Figures 1 & S1).

Figure 1. Chest X-ray appears normal.

Figure 1. Chest X-ray appears normal.

 

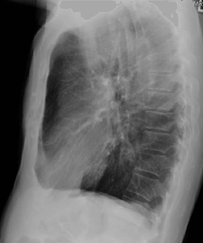
Figure S1. Chest x-ray appears normal. Related to Figure 1.

Figure S1. Chest x-ray appears normal. Related to Figure 1.

Indication:

Localization (and lateralization) of the bleed to (1) optimize positioning via lateral decubitus; (2) facilitate emergent endobronchial blocking if needed.  CT scan would be the most ideal imaging modality though it may not be feasible in a timely fashion due to a multitude of reasons, therefore PoCUS would rapidly provide the answer to the targeted clinical questions.

Multiple studies have demonstrated the superiority of thoracic PoCUS in identifying interstitial syndrome compared to conventional chest x-ray.   In this particular case, the CXR was essentially normal though PoCUS demonstrated otherwise.

Image Acquisition:

Bilateral four zone thoracic imaging acquisition. One can perform an extended scan if the posterior thorax can be accessed for Zone 5 and 6.  (To scan Zone 5, displace the scapula by having the patient “hug” him/herself; see Figure S2, Videos 1-8).

 

 

Figure S2. Graphical representation of the four zones imaged with the borders for each zone demarcated. Legend: 5th ICS (5th Intercostal space), AAL (Anterior axillary line), PAL (Posterior axillary line).

Figure S2. Graphical representation of the four zones imaged with the borders for each zone demarcated. Legend: 5th ICS (5th Intercostal space), AAL (Anterior axillary line), PAL (Posterior axillary line).

Image Interpretation:

A-lines are seen in all zones barring LZ4 (Left Zone 4) which revealed > 3 B-lines between two-rib space (see Video 8).

In this case, A-lines are seen at the right and left thorax barring LZ4 which showed multiple B-lines.

B-lines are vertical artefacts indicating “something” is in the interstitium and/or alveoli – water, pus, blood, scar, or mass – with > 3 B-lines seen between 2 rib-space designated as a significant scan.  The diagnostic term for such a positive scan is called “Interstitial Syndrome” in the PoCUS realm.

In this particular case, significant number of B-lines was localized to the left lower lobe suggesting it as the most likely source of the hemoptysis.   Nevertheless, there are several limitations to beware of.

First of all, it is not uncommon to see B-lines in the lower lobes at the most dependent regions secondary to atelectasis or gravitation of fluid.  Secondly, the presence of significant B-lines indicates interstitial syndrome though it does not confer an etiology in-of-itself – nevertheless, the pattern and distribution of the B-lines may suggest an etiology.   In addition, one cannot discern whether B-lines are acute, chronic, or acute-on-chronic.  Finally, of note, if the lesion is surrounded by aerated parenchyma or a pneumothorax, the ultrasound beam will be scattered – yielding A-lines rather than B-lines.  (For example, if the source of the bleed was proximal, the thoracic PoCUS would not be able to detect it.)

Clinical Synthesis:

The source of the hemoptysis is likely originating from the left lower lobe.

Vignette Resolution:

The patient was immediately placed on a left lateral decubitus position upon attaining the thoracic PoCUS results; and the intubation expert was notified of the findings.  An emergent CT thorax without contrast demonstrated ground-glass opacity in the left lower lobe.

 

Figure 3. Chest CT shows coarse and ragged pleura (arrow).

Figure 3. Chest CT shows coarse and ragged pleura (arrow).

Figure S3. Chest CT. Related to Fig. 3, and Video 10 showing B lines.

Figure S3. Chest CT. Related to Fig. 3, and Video 10 showing B lines.

Video 9. Left Zone 4 shows coarse and ragged pleura. Related to Figure 3.

 

Video 10. Left Zone 4 shows ≥3 B lines.

 

 

Posted in .

Leave a Reply

Your email address will not be published. Required fields are marked *