Case File: Rapid Diagnosis of Pericardial Effusion

by Jeffrey Wilkinson, MD and Amer M. Johri, MD

 


Download article PDF – POCUS Journal 2016; 1(3):12


 

Mr. DB was a 95 year old man who presented to the emergency department with dyspnea progressing over the last 3 months. Chest x-ray demonstrated an enlarged cardiac silhouette.

He had a past medical history significant for coronary artery disease, hypertension and a lobectomy due to tuberculosis.

A point of care cardiac ultrasound was conducted by an internal medicine resident as part of his physical examination in the emergency department. A large pericardial effusion was found. There were no clinical signs of tamponade.

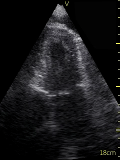
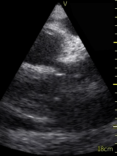
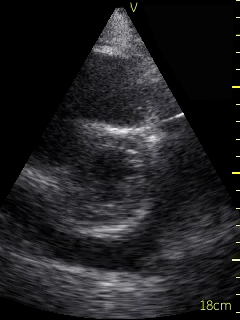
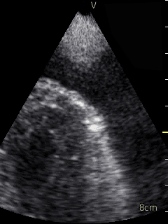
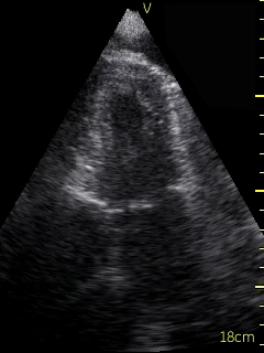
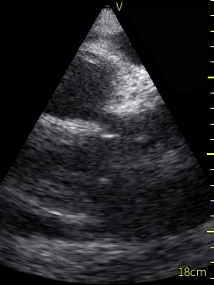
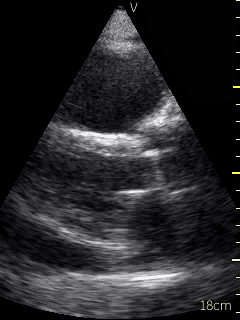
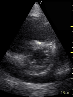
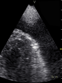
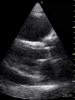
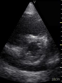
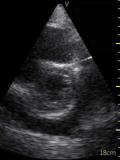
Video 1 (online supplement; Figure 1) demonstrates a parasternal long axis view with the pericardial effusion noted to be posterior to the left ventricle in this view. Video 2 (online supplement; Figure 2) is a short axis view of the heart which is showing that the effusion is surrounding the heart. Video 3 and 4 (online supplements; Figures 3 & 4) demonstrates that the pericardial effusion is present significantly surrounding the apex as well. An echocardiogram confirmed the POCUS findings and cardiology was consulted to conduct a pericardiocentesis, following which the patient’s symptoms resolved. The effusion was thought to be chronic and transudative. In this case, the use of POCUS at the bedside allowed for rapid detection of a large pericardial effusion and subsequent treatment.

 

 

Posted in .

Leave a Reply

Your email address will not be published. Required fields are marked *