Case Report: FAST Ultrasound Interpretation in Trauma Resuscitation

by Stuart Douglas¹, Joseph Newbigging², David Robertson³

(1) PGY4 Emergency Medicine, Queen’s University, and Fellow Critical Care Medicine, Queen’s University
(2) Assistant Professor, Queens University, Division of Emergency Medicine
(3) Assistant Professor, Queens University, Division of General Surgery

 


Download article PDF – POCUS Journal 2016; 1(3):13-14


 

FAST Background 

Focused Assessment with Sonography for Trauma (FAST) is an integral adjunct to primary survey in trauma patients (1-4) and is incorporated into Advanced Trauma Life Support (ATLS) algorithms (4). A collection of four discrete ultrasound probe examinations (pericardial sac, hepatorenal fossa (Morison’s pouch), splenorenal fossa, and pelvis/pouch of Douglas), it has been shown to be highly sensitive for detection of as little as 100cm3 of intraabdominal fluid (4,5), with a sensitivity quoted between 60-98%, specificity of 84-98%, and negative predictive value of 97-99% (3). Further increasing sensitivity, ATLS recommends a repeat FAST exam in 30 minutes to increase sensitivity in slow bleeds, or early post-trauma presentations in the case that the first exam was negative (4). Recently, the Extended FAST (E-FAST) exam has become standard and includes assessment for post-traumatic pneumothoraces (6).

With respect to trauma resuscitation, FAST exam offers the opportunity for quick, serial exams to identify potentially fatal conditions, including peritoneal free fluid and pericardial tamponade (1). It is indicated for the triage of blunt trauma patients (7) to direct decision making (1). In penetrating abdominal trauma FAST selects for patients requiring emergent exploratory laparotomy (5).

Case Summary

A 38-year old male was transferred to a Level 1 Trauma Center from a peripheral Emergency Department. Approximately four hours prior he was a belted front-passenger in a motor vehicle collision with intrusion to the passenger side at speeds approximately 50km/h. There was no loss of consciousness, but the patient endorsed sudden right-sided abdominal pain. Upon arrival at the peripheral Emergency Department, the patient was tachycardic between 130-150bpm, though hemodynamically stable. Primary survey identified right upper and lower abdomen tenderness, persistent tachycardia despite crystalloid resuscitation, and peritoneal free fluid on E-FAST exam.

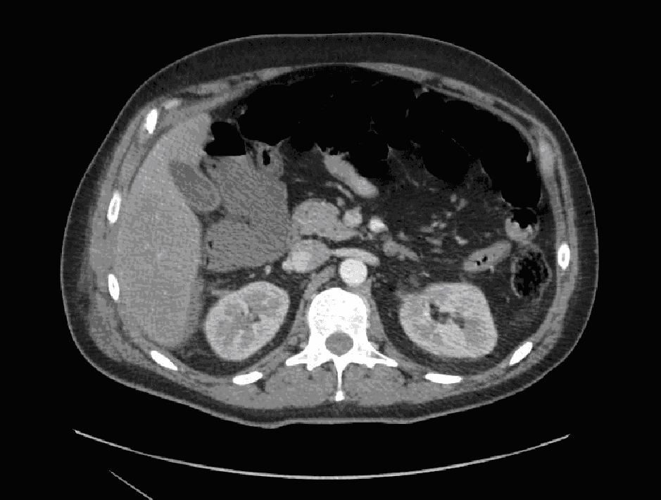
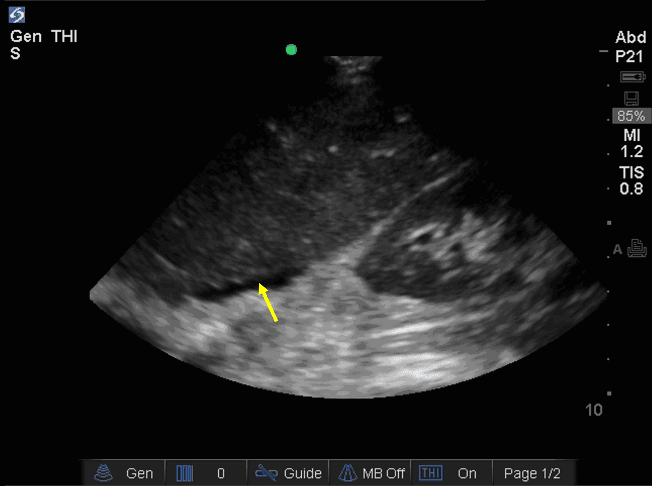
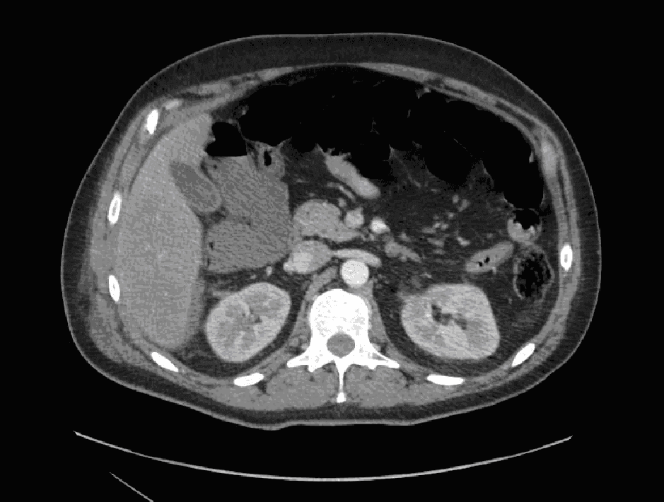
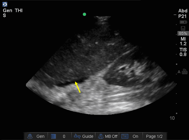
Upon arrival at the Level 1 Trauma Center, the patient remained tachycardic and demonstrated localized right lower quadrant peritonitis. A repeat E-FAST exam was positive for intraperitoneal free fluid in Morison’s pouch (see Figure 1). After further resuscitation, the patient was hemodynamically stable enough to undergo CT imaging of the abdomen/pelvis. The CT demonstrated a large right-sided retroperitoneal complex fluid collection measuring 82 x 132 x 172 mm that extended from the posterior pararenal space to the peritoneal fat anteriorly. Mottled locules of gas were evident within the collection, suspicious for traumatic colonic perforation. There was also fluid in Morison’s pouch (see Figure 2), consistent with what was seen on the E-FAST exam. As such, the patient was emergently taken to the Operating Room (OR) for exploratory laparotomy.

Intraoperatively, a large abscess with chronic features was identified in the right lower quadrant. It was contiguous with the retroperitoneum and dissected towards the right groin in the peri-psoas plane. The grossly abnormal appendix was identified within the abscess. Based on the operative findings, a tentative diagnosis of a chronic missed appendicitis was made, rather than acute traumatic bowel perforation. The patient underwent open appendectomy and wash-out, and was discharged from hospital in excellent condition two weeks later.

Of note, following the OR, the patient reported that he had been assessed for right lower quadrant pain and diagnosed with a partial small bowel obstruction one month prior to this presentation. He reported ongoing abdominal pain and significant weight loss since that assessment. In retrospect, it was felt that his original small-bowel obstruction diagnosis was actually an ileus from acute appendicitis.

Limitations of FAST 

E-FAST exam has become an integral adjunct to trauma resuscitation. In skilled hands it is a powerful tool with ability to drastically improve patient outcomes. Although fast, non-invasive, and sensitive, E-FAST examination should be interpreted skilfully. An appreciation for E-FAST limitations and sensitivity is required for successful trauma resuscitation.
Of note, decreased sensitivity for intra-abdominal injury has been linked to specific patient populations, including those with higher Injury Severity Scores (3), and hemodynamically stable patients with blunt abdominal injury (7). Negative FAST exams in these cohorts should be interpreted with caution, and consideration of further investigations or serial exams considered. Further recognized limitations include failure to identify retroperitoneal or solid organ injuries, failure to recognize clotted blood as hematoma, and difficult patient groups including those that are obese (8).

As portrayed in this case report, E-FAST offers little ability to discern the specific fluid identified (8). Free fluid on E-FAST could be blood, but could also be urine, ascites, bile, pus, peritoneal dialysate fluid, or bowel contents. In the setting of trauma, peritoneal free fluid must be considered blood, and the trauma patient resuscitated appropriately, with CT imaging as tolerated versus emergent exploratory laparotomy. This case illustrates an interesting example of a trauma patient’s E-FAST exam that was falsely positive for blood in the peritoneum.

 

 

References

  1. Kool DR, Blickman JG. Advanced trauma life support. ABCDE from a radiological point of view. Emerg Radiol. 2007;14:135-141.
  2. Jehle DVK, Stiller G, Wagner D. Sensitivity in detecting free intraperitoneal fluid with the pelvic views of the FAST exam. Am J Emerg med. 2003;21:476-478.
  3. Becker A, Lin G, McKenney MG, Marttos A, Schulman CI. Is the FAST exam reliable in severely injured patients? Injury. 2010;41(5):479-483.
  4. American College of Surgeons Committee on Trauma. Advanced Trauma Life Support for Doctors – ATLS Student Course Manual, Eighth Edition. Chicago: American College of Surgeons, 2008. Print.
  5. Quinn AC, Sinert R. What is the utility of the Focused Assessment with Sonography in Trauma (FAST) exam in penetrating torso trauma? Injury. 2011;42:482-487
  6. Kirkpatrick AW, Sirois M, Laupland KB, Liu D, Rowan K, Ball CG, Hameed SM, Brown R, Simons R, Dulchavsky SA, Hamiilton DR, Nicolaou S. Hand-held thoracic sonography for detecting post-traumatic pneumothoraces: The Extrnded Focused Assessment with Sonography for Trauma (EFAST). The Journal of Trauma. 2004. 57;288-295.
  7. Miller MT, Pasquale M, Bromberg WJ, Wasser T, Cox J. Not so Fast. The Journal of Trauma: Injury, Infection, and Critical Care. 2003;54(1):52-60.
  8. Lewiss RE, Saul T, Del Rios M. “Focus on: EFAST – Extended Focused Assessment with Sonography for Trauma.” American College of Emergency Physicians – Clinical & Practice Management. American College of Emergency Physicians. Jan, 2009. Web June 13, 2016.
Posted in .

Leave a Reply

Your email address will not be published. Required fields are marked *