Case Report: When all claims that it is necrotizing fasciitis but Point of care ultrasound (POCUS) proves the opposite!

by Hadiel Kaiyasah, MD, MRCS (Glasgow), ABHS-GS1 and Maryam Al Ali, MBBS2

(1) General Surgery Department, Rashid Hospital trauma center, Dubai Health Authority, Dubai, United Arab Emirates
(2) Emergency Department, Rashid Hospital trauma center, Dubai Health Authority, Dubai, United Arab Emirates

 


Download article PDF – POCUS Journal 2018; 3(1):13-14.


 

 Introduction

Soft tissue ultrasound (ST-USS) has been shown to be of utmost importance in assessing patients with soft tissue infections in the emergency department or critical care unit. It aids in guiding the management of soft tissue infection based on the sonographic findings. In this case report, all clinical and biochemical parameters were in favor of the diagnosis of necrotizing fasciitis, however, Point of Care ultrasound (PoCUS) of the soft tissue did not show any features suggestive of necrotizing fasciitis. This was proven by the intraoperative findings of healthy intact fascia.

Case presentation

A 24-year-old female of African descent, presented to Rashid hospital trauma center with complaint of painful right leg swelling of one week duration. The patient was sick looking & drowsy. Vitally she was febrile with 38.2o C, and tachycardia of 110 bpm. Local examination of the leg showed cellulitis changes with multiple blisters and necrotic patches (Figure 1). Laboratory tests showed leukocytosis of 14.4 10^3/μL (3.6-11 10^3/μL), Hb 14.1 g/dL (11-15 g/dL), hyponatremia of 125 mmol/L (136-145 mmol/L), CRP 560.9 mg/L (0.3-5 mg/L) and procalcitonin 50.6 ng/mL (more than 10 ng/mL high likelihood of sever sepsis), and LRINEC score 6.

Figure 1. Cellulitis changes with multiple blisters & necrotic patches.

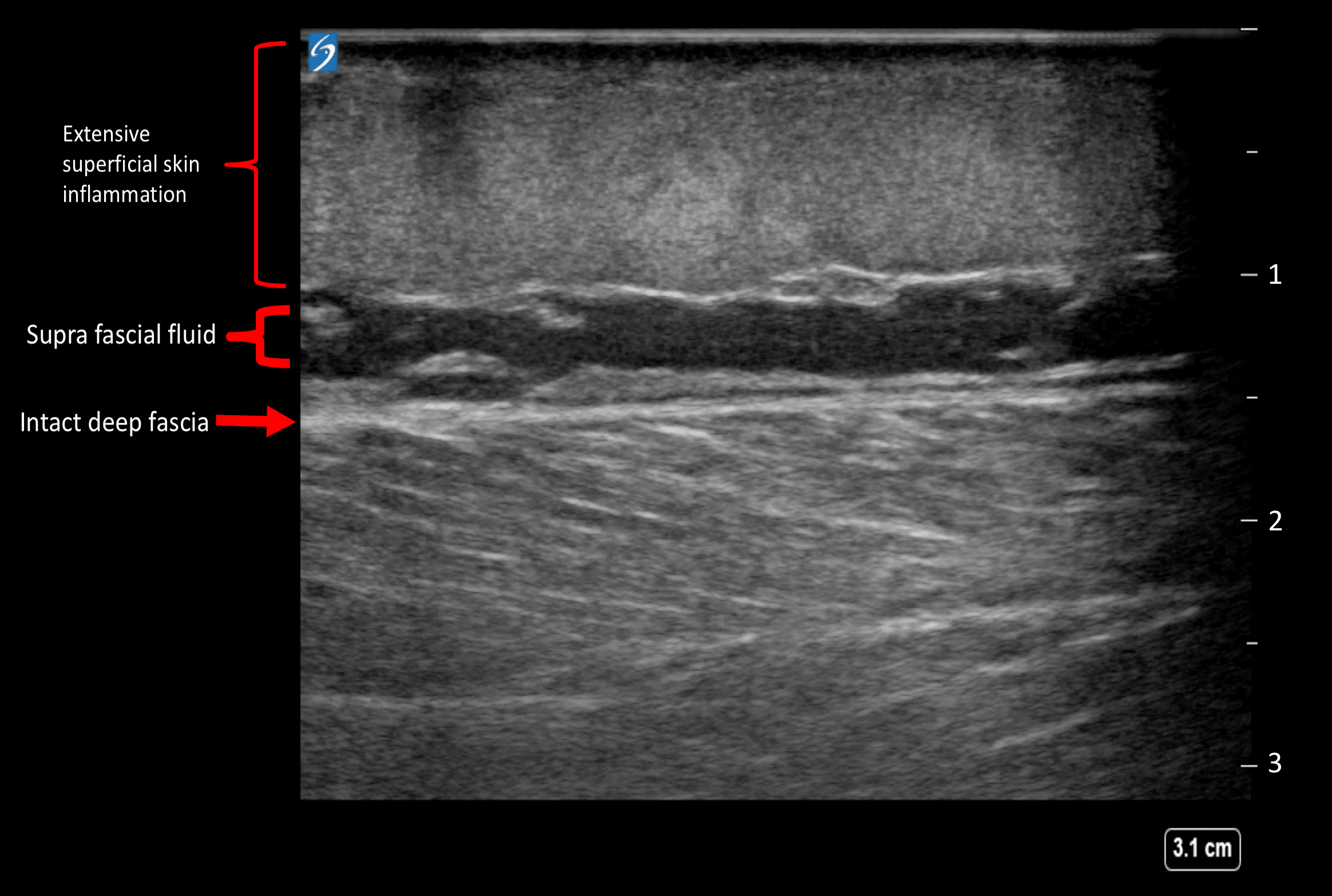
Urgent surgical consultation was obtained and broad-spectrum antibiotics were initiated. Soft tissue ultrasound was performed by linear probe and showed superficial cellulitis with no fascia thickening or sub-fascial fluids seen (clean fascia sign) as per Figure 2. Due to the high clinical suspicion, the patient was posted for urgent surgical debridement for possible necrotizing fasciitis. Intraoperative findings were only positive for superficial inflammatory process; the fascia was found healthy and intact. The patient was labelled as a case of complicated erysipelas and managed with daily dressing and antibiotics. The patient improved over a period of 2 weeks and was discharged home successfully.

Figure 2. soft tissue ultrasound showing superficial cellulitis with no fascia thickening or sub-fascial fluids seen (clean fascia sign).

Discussion

ST-USS has both diagnostic and therapeutic implications when used in the emergency department. It helps in differentiating abscesses from cellulitis and identifying necrotizing fasciitis in clinically suspected cases of soft tissue infections [1]. Clinical evaluation tends to be incorrect in 25-50% of cases. ST-USS decreases non-therapeutic incision and drainage [2].

In necrotizing fasciitis, there tends to be sonographic features such as thickened fascia, gas shadows, supra & sub-facial fluid collection (dirty fascia sign) [3]. This helps in guiding early diagnosis and recognition of such cases, hence prompt surgical intervention.

Conclusion

Soft tissue ultrasound has proven to be superior over clinical and biochemical markers in diagnosing necrotizing fasciitis.

 

References

  1. Yen ZS, Wang HP, Ma HM, Chen SC, Chen WJ. Ultrasonographic screening of clinically-suspected necrotizing fasciitis. Acad Emerg Med. 2002; 9:1448–51.
  2. Squire BT1, Fox JC, Anderson C. ABSCESS: applied bedside sonography for convenient evaluation of superficial soft tissue infections. Acad Emerg Med. 2005 Jul; 12(7):601-6.
  3. Osek WT, Laeger TC. Early diagnosis of necrotizing fasciitis with soft tissue ultrasound. Acad Emerg Med. 2009; 16:1033.

 

 

Posted in .

Leave a Reply

Your email address will not be published. Required fields are marked *