Current Issue

Inside the November 2025 Issue

Benjamin T. Galen - This November 2025 issue highlights the breadth of POCUS innovation, from patient-centered reflections to practical advances in vascular assessment. It also includes a comprehensive guide to effective peer review, offering tools applicable across research fields.


A Guide to an Effective Peer Review

Tanping Wong; Riya Soni; Casey Glass - This article offers prospective peer reviewers structured guidance to build confidence and enable them to perform effective reviews.


Respecting Learner Autonomy in POCUS Image Acquisition – a Stepped Approach

David Purkarthofer, Simon Orlob - This letter discusses a structured approach to POCUS teaching that supports learner autonomy and skill development.


SpacED POCUS: A Randomized Controlled Trial of an Adaptive Spaced Education POCUS Curriculum for Medical Students

Anelah McGinness; Sarah Hancock; Megan Hilbert; Jane Soung; Emily Lovallo - This study evaluates the effectiveness, retention, engagement, and acceptability of adaptive spaced education (spacED) for improving the accuracy of point of care ultrasound (POCUS) image interpretation by medical students.


POCUS: Presence, Observation, Connection, Understanding, Story

Sanjay A. Patel - This article details the transformative experience of a medical intern using point-of-care ultrasound (POCUS) to visualize a patient’s severe alcohol-related cirrhosis and cardiomyopathy.


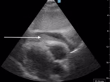
Utilizing POCUS for the Identification and Management of PICC Line-Associated Cardiac Tamponade

Pedro Jose Cruz Guzman; Karen Lidsky; William Hanna - This case report describes a 5-month-old ex-premature infant who developed cardiac tamponade associated with PICC line malposition. Point of care ultrasound (POCUS) was used to diagnose and effectively manage the condition peri-arrest via emergent pericardiocentesis.


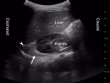
Agreement of IVC Diameter Measurements via Subcostal and Transhepatic POCUS Views

Santiago Beltramino; Giuliano Gaudenzi; Jhon Mauricio Rojas; Agustín Manchado Bruno - This study evaluates the concordance between two views in ventilated and non-ventilated patients, categorizing the IVC as small, intermediate, or large.


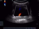
Measurement of systolic blood pressure using POCUS with color Doppler compared to with an intraarterial line

Henry Mayo-Malasky; Daniel Ying; Alekhya Bukkuri; Paul H. Mayo - This study compares the measurement of SBP using point of care ultrasound (POCUS) with color Doppler to the measurement of SBP using an intraarterial catheter


Lung POCUS in a Pulmonary Outpatient Clinic: Balancing Utility and Feasibility

Priyanka Sridhar; Paru Patrawalla; Boram Kim - This study evaluates the feasibility, clinical impact, indications, practices, and findings associated with lung POCUS in an urban-based pulmonary outpatient clinic


Bilateral Lung Points without Pneumothorax: Exploring “Lung Point” Mimics

Michael Dong, Rebecca Davis, F. Mae West, Gillian Naro, Arthur Au, Jonathan Foster, Jillian Cooper - This study presents a patient case with bilateral lung points in the absence of pneumothorax.


Assessment of the association between lung POCUS findings during preoperative assessment and cardiopulmonary outcomes in patients undergoing major abdominal surgery: a pilot study protocol

Leonidas Palaiodimos; Sriram Sunil Kumar; Perminder Gulani ; Maisha Maliha; Adam Mylonakis; Lori Lemberg; Mindaugas Pranevicius; Robert T. Faillace; Ilias I. Siembos; Benjamin Galen; Dimitrios Schizas - This study attempted to determine whether the addition of lung POCUS can be used to better stratify the risk for postoperative complications.


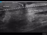
POCUS-Guided Forearm Nerve Blocks for Analgesia of Acute Hand Ischemia in the Emergency Department

Richard J. Gawel; Sydney Sillar; Nova Panebianco; Michael Shalaby; Ian P. Ciesielski - This case illustrates the novel use of POCUS-guided upper extremity regional anesthesia by emergency physicians to manage ALI pain.


POCUS Diagnosis of Bacterial Lymphadenitis Later Determined to be Cat Scratch Disease: A Unique Presentation and Review

Alec P. Tolentino; Stanley Wojtas,; Camille D. Audette; Erin J. Meyer; Zachary W. Binder - This study presents a case of a teenage male evaluated in the pediatric emergency department for acute bilateral inguinal swelling, in which POCUS identified lymphadenopathy and guided the evaluation of a presumed infectious process, ultimately determined to be caused by [...]


The SHARP Exam: A Standardized POCUS Approach to Undifferentiated Acute Right Lower Quadrant Abdominal Pain in Young Women

Michael Halperin; Maia Winkel; Ashley Aiken; Nora McNulty; Michelle Montenegro; Nicole Leonard Shiu; Trevor Dixon; Alyssia McEwan; William Murk; Ariella Gartenberg - This study presents The SHARP Exam, a novel point of care ultrasound (POCUS) protocol designed to aid in the evaluation of undifferentiated, acute, right-sided, lower abdominal pain in women of child-bearing age. The [...]


POCUS for Detection of Esophageal and Gastric Foreign Bodies

Daniella Lamour; Jacqueline Jean-Gilles; David Kinas; Edward Lopez; Robert A. Farrow - This case series presents three distinct instances of foreign body ingestion, where POCUS enhanced patient outcomes and disposition. This series includes evidence on use of POCUS for an obstructed esophageal foreign body and two gastric foreign bodies in a stable patient and unstable [...]


Giant Pyonephrosis Diagnosed Using POCUS in a Resource-Limited Setting

Roody Menager; Rebecca St Louis; Anst Gelin; Flawendjee Djaweelentz Jacques - This case discusses a 36-year-old man presented to the ED with dyspnea, fever, abdominal pain, and abdominal distention in the area where an intra-abdominal tumor was reported. After ultrasound-guided aspiration, pyonephrosis was diagnosed. In the absence of other capable specialists, the emergency physician performed [...]


Peritoneal Volume Influence on POCUS Volume Assessment in Patients Undergoing Peritoneal Dialysis

María Muñiz Rincón; Diego Barbieri, MD; Virginia López de la Manzanara; Elena Ruiz Ferreras; Arianne Aiffil Meneses; Carlos Fernández Fernández; Cristina Riaza Ortiz; Rómulo Loayza López; Jose Antonio Herrero Calvo; Ana I. Sanchez-Fructuoso - This study investigates variations in fluid overload using point of care ultrasound (POCUS). It assesses patients undergoing peritoneal dialysis (PD) with [...]


Performance of POCUS for Pregnancy Evaluation using a Non-Piezoelectric Ultrasound Device in the Emergency Department

Hae I. Yun, Brandon M. Wubben - This study demonstrates that POCUS using a non-piezoelectric ultrasound device was able to accurately rule in first trimester IUP in the emergency department at relatively low hCG levels, with no false positive IUPs identified. During the second and third trimesters, POCUS consistently detected fetal heart motion and had [...]


A Retrospective Proof-of-Concept Study of the Impact of Point of Care Ultrasound During Short-Term Surgical Missions

Harsh Sule; Rolando Valenzuela; Vennila Padmanaban; Enoch Obeng; Georgia Davies; Francisco Alvarado; Ziad Sifri - This study is a retrospective analysis of POCUS use during the perioperative course of patients undergoing definitive surgical treatment over the course of two STSMs.


When Omental Infarction Imitates Appendicitis: Advancing Diagnosis with POCUS

David J. McCreary; Iain Fraser; Nigel Chan - This is the first documented case of POCUS being utilised in the evaluation of a child with omental infarction. While the patient’s diagnosis was less common than initially suspected, POCUS played a crucial role in guiding timely and effective patient care, highlighting its value in clinical decision-making [...]


Can a POCUS Clinical Decision Rule Improve Reliability in the Diagnosis of Paediatric Transient Synovitis of the Hip? A Single Centre Pilot Study

David J McCreary; Rashed Chowdhury; Cameron Hamilton - This study retrospectively applied a POCUS CDR to patients presenting to a paediatric emergency department (PED) with atraumatic limp over a 5 year period.


Use of Internal Jugular Vein POCUS to Assess Intravascular Volume Status: A Study in Critically Ill Pediatric Post-Operative Cardiac Patients

Karunya Jayasimha; Wei Liu; William Hanna - This study correlates IJV POCUS with CVP in mechanically ventilated post-operative children following congenital heart disease surgery.


Glow Up Pediatric Minor Trauma Care: Detecting Adrenal Bleeding with Contrast-Enhanced Ultrasound in Emergency Settings

Yair Katzir; Yehuda Tzur - This study describes, for the first time, the use of pediatric emergency physician-performed CEUS in the evaluation of minor abdominal trauma in a child.


Detecting a Canal of Nuck Hydrocoele in a Child with a Ventriculoperitoneal Shunt Using POCUS

David J. McCreary; Maria Munir; Milan Gopal - This study presents the first reported case of a Canal of Nuck hydrocoele identified using POCUS in a child. This case highlights the role of POCUS as a safe, reliable, first-line imaging tool for identifying Canal of Nuck hydrocoeles in patients with VP shunts


POCUS Examination of the Mediastinum in Children: A Simplified and Standardized Protocol for Pulmonary Tuberculosis

Isabelle Munyangaju; Lucia Carratala-Castro; Sozinho Acacio; José Miguel Escudero Fernández; Antoni Soriano-Arandes; Maria Espiau; Begoña Santiago Garcia; Alicia Hernanz-Lobo; Ángel M. Lancharro Zapata; Aleix Soler-Garcia; Enrique Ladera; Antoni Noguera-Julian; Angela Manzanares; Daniel Blazquez; Elisa Aguirre Pascual; José Massingue; Jessica Dalsuco; Justina Bramugy; Isabelle Thierry-Chefque Bassat; Danilo Buonsenso; Elisa Lopez-Varela; Xavier Serres-Créixams - This study shows [...]